WEB予約
line
ヘッダー画像

治療例

治療例|江東区大島駅徒歩1分の歯医者|大島中央歯科クリニック|土日診療

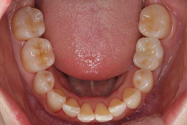
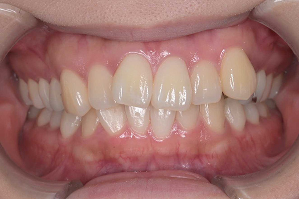
① セラミック治療と矯正治療

治療前

治療後

サムネイルをクリックタップすると
大きく表示されます。

年代・性別
20代 女性
お悩み
八重歯が気になる
治療内容
矯正治療(ワイヤー)
セラミック治療
治療期間・回数
2年
費用
130万
リスク・副作用
根本的な歯列不正や噛み合わせの改善を目指す場合、治療期間が長くなるのが一般的です。見た目を整えるために天然歯を削って土台を作るため、一度削った歯は元に戻せません。

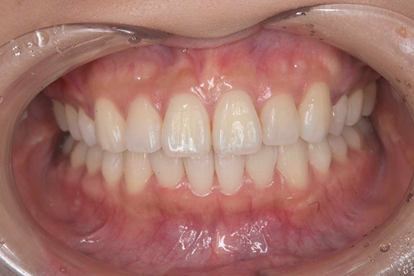
② ホワイトニングと被せ物の治療

治療前

治療後

サムネイルをクリックタップすると
大きく表示されます。

年代・性別
50代・女性
お悩み
前歯を綺麗にしたい
治療内容
周りの歯のホワイトニング、被せ物のやりかえ
治療期間・回数
3ヶ月
費用
ホワイトニング 4.4万円、被せ物 24.2万円、他治療を含め 計約30万円(税込)
リスク・副作用
ホワイトニングは時間と共に後戻りをします。また、歯がしみることがあります。被せ物は稀に壊れることがあります。
求める審美性によって、料金が変わることがあります。

③ マウスピース矯正治療

治療前

治療後

サムネイルをクリックタップすると
大きく表示されます。

年代・性別
30代女性
お悩み
歯並びを治したい
治療内容
マウスピース矯正
治療期間・回数
6ヶ月
費用
88万円
リスク・副作用
必ずしも希望通りの歯並びにならないことがあります。
症例によっては、ワイヤー装置を使う場合もございます。

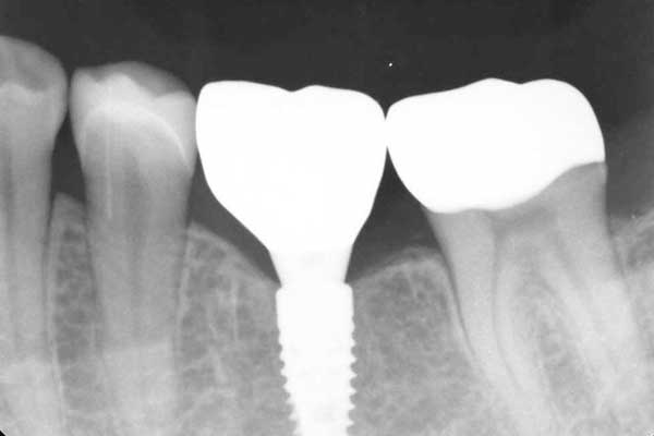
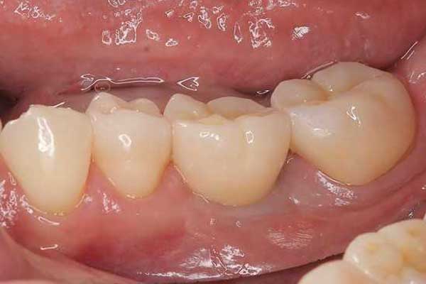
④ インプラント治療

治療中

治療後

サムネイルをクリックタップすると
大きく表示されます。

年代・性別
70代・男性
お悩み
歯が折れた
治療内容
抜歯を行い、その後インプラント治療を行い新しく歯をつくりました。
治療期間・回数
8ヶ月
費用
約60万円(税込)
リスク・副作用
処置の際には様々な合併症が起こることがあります。

⑤ 深い虫歯の治療
(ダイレクト+VPT)

治療中

治療中

治療中

治療後

サムネイルをクリックタップすると
大きく表示されます。

年代・性別
20代・女性
お悩み
神経を残して虫歯を治したい
治療内容
VPT(神経を残す治療)、ダイレクトボンディング(保険外の詰め物)
治療期間・回数
1回
費用
VPT 4.4万円+ダイレクトボンディング 4.4万円、計8.8万円(税込)
リスク・副作用
必ずしも神経を残せるわけではありません。
また詰め物では対応できず、被せ物になり費用がかかる可能性がございます。
また、術後、痛みを感じる可能性がございます。

⑥ インプラント治療とセラミック治療とダイレクトボンディング

治療前

治療後

サムネイルをクリックタップすると
大きく表示されます。

年代・性別
30代女性
お悩み
全体的に治療したい
治療内容
インプラント治療
セラミック治療
ダイレクトボンディング
治療期間・回数
1年
費用
約100万円
リスク・副作用
インプラント手術には合併症が起きる場合があります。
修復物は破損することもございます。
治療により痛みが出ることもございます。

⑦ インプラント治療とセラミック治療

治療中

治療後

サムネイルをクリックタップすると
大きく表示されます。

年代・性別
40代女性
お悩み
セカンドオピニオン
治療内容
インプラント治療
セラミック治療
治療期間・回数
6ヶ月
費用
約80万円
リスク・副作用
インプラント手術には合併症が起きる場合があります。
修復物は破損することもございます。
治療により痛みが出ることもございます。

⑧ オーバーレイ治療

治療中

治療後

サムネイルをクリックタップすると
大きく表示されます。

年代・性別
40代・女性
お悩み
歯が痛い、綺麗に治したい
治療内容
最新の接着技術を用いて、従来よりも削る量を少なく審美的にセラミック治療を行ないました。
治療期間・回数
2ヶ月
費用
約14万円(税込)
リスク・副作用
修復物は割れることがあります。ラバーダム使用による痛みが出ることがあります。

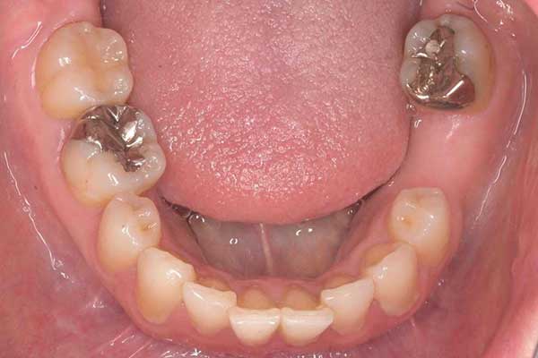
⑨ 虫歯治療(被せ物)

治療中

治療中

治療中

治療後

サムネイルをクリックタップすると
大きく表示されます。

年代・性別
20代・男性
お悩み
虫歯の治療をしたい
治療内容
虫歯をとる→被せ物の型取り→被せ物をつける
治療期間・回数
親知らずの抜歯、歯周病の治療なども含めて6ヶ月
費用
セラミックインレー 6.6万円+オーバーレイセラミックス 11万円、計約20万円(税込)
リスク・副作用
修復物は割れることがあります。ラバーダム使用による痛みが出ることがあります。術後、神経の痛みが出た場合は、被せ物のやり直しが必要です。

⑩ 詰め物の治療

治療前

治療後

サムネイルをクリックタップすると
大きく表示されます。

年代・性別
30代・女性
お悩み
銀歯を白くしたい
治療内容
全体のお掃除→詰め物の治療
治療期間・回数
3日
費用
4.4万円(税込)
リスク・副作用
修復物は割れることがあります。プラスチック材料を用いるため、経年的な劣化があります。

⑪ ホワイトニングと被せ物の治療

治療中

治療後

サムネイルをクリックタップすると
大きく表示されます。

年代・性別
30代・女性
お悩み
ホワイトニングと歯の形が気になる
治療内容
全体のお掃除→ホワイトニング→被せ物をつける
治療期間・回数
2ヶ月
費用
20万円(税込)
リスク・副作用
ホワイトニングは時間と共に後戻りをします。被せ物は稀に壊れることがあります。
pagetop